Nếu răng vĩnh viễn chưa mọc đủ thì có thể nhổ răng sữa muộn có hại gì không?
Ngày đăng: 11/23/2025 3:07:20 PM - Lĩnh vực khác - Toàn Quốc - 33Chi tiết [Mã tin: 6335092] - Cập nhật: 9 phút trước
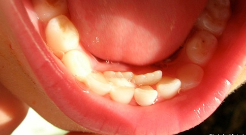
Trong chu kỳ thay răng tự nhiên, răng sữa sẽ lung lay và rụng đi để nhường chỗ cho răng vĩnh viễn mọc lên. Quá trình này được điều khiển bởi cơ chế sinh học phức tạp, đó là sự tiêu chân răng sữa. Tuy nhiên, đôi khi răng sữa lại "cứng đầu", không rụng đúng thời điểm, ngay cả khi răng vĩnh viễn đã bắt đầu nhú lên bên dưới. Tình trạng này được gọi là nhổ răng sữa muộn, hay tồn tại dai dẳng của răng sữa (Persistence of Primary Teeth).
Câu hỏi đặt ra là: Nếu răng vĩnh viễn chưa mọc đủ thì có thể nhổ răng sữa muộn có hại gì không? Câu trả lời là có. Việc răng sữa tồn tại quá lâu trên cung hàm gây ra nhiều vấn đề về chỉnh nha và sức khỏe răng miệng, đòi hỏi sự can thiệp kịp thời.
![]()
I. Giới thiệu: Răng Sữa Cứng Đầu – Tầm quan trọng của việc Loại bỏ Đúng Lúc
Răng sữa tồn tại quá lâu là dấu hiệu cho thấy cơ chế tiêu chân răng sữa có vấn đề, hoặc mầm răng vĩnh viễn có vị trí mọc bất thường. Sự cản trở này tạo ra một "rào cản vật lý" ngăn không cho răng vĩnh viễn mọc đúng vị trí và đúng hướng.
II. Cơ chế Tự tiêu Chân Răng Sữa
Quá trình thay răng là một sự kiện được lập trình chính xác. Khi răng vĩnh viễn bắt đầu phát triển và di chuyển về phía bề mặt cung hàm, áp lực từ mầm răng này sẽ kích thích các tế bào xương đặc biệt (Odontoclast) bao quanh chân răng sữa. Các tế bào này sẽ tiêu hủy dần dần (Resorption) chân răng sữa, làm răng sữa lung lay và rụng đi một cách tự nhiên.
Tuy nhiên, có hai trường hợp bất thường phổ biến khiến quá trình này bị gián đoạn:
- Mầm Răng Vĩnh Viễn Lệch Vị trí: Mầm răng vĩnh viễn nằm quá xa (lệch về phía má hoặc phía lưỡi) so với chân răng sữa, không tạo ra áp lực tiêu chân răng đủ mạnh.
- Thiếu Khoảng Trống: Răng vĩnh viễn không có đủ khoảng trống để mọc, bị kẹt lại, và không tạo được áp lực lên chân răng sữa.
=>> Click: https://nhakhoashark.vn/nho-rang-co-moc-lai-khong/
III. Tác hại của Việc Nhổ Răng Sữa Muộn (Sự Tồn tại Dai dẳng)
Răng sữa tồn tại lâu hơn thời gian sinh lý của nó mang lại nhiều hệ lụy cho cấu trúc răng vĩnh viễn và sức khỏe toàn hàm.
1. Lệch Hướng Mầm Răng Vĩnh Viễn (Ectopic Eruption)
Đây là tác hại nghiêm trọng nhất. Răng sữa không rụng khiến răng vĩnh viễn không có lối thoát trên cung hàm. Răng vĩnh viễn bị "tắc" buộc phải mọc tìm đường ra, dẫn đến:
- Răng Mọc Lệch Vị trí: Thường thấy răng vĩnh viễn mọc chen chúc, hoặc mọc lệch hẳn ra ngoài (phía má) hoặc vào trong (phía lưỡi) so với răng sữa. Hiện tượng "răng đôi" (hai răng cùng tồn tại trên một vị trí) thường xảy ra ở răng cửa.
- Răng Mọc Ngầm: Nếu sự cản trở quá lớn, răng vĩnh viễn có thể bị kẹt hoàn toàn trong xương hàm, trở thành răng mọc ngầm, cần phải phẫu thuật chỉnh nha để kéo xuống.
2. Khó Vệ Sinh và Tăng Nguy cơ Bệnh Lý
Sự tồn tại của hai chiếc răng (sữa và vĩnh viễn) cùng một lúc trong một khoảng không gian hẹp tạo ra các khe hở và vùng ngóc ngách rất khó làm sạch.
- Sâu Răng: Tích tụ mảng bám ở khe răng và viền nướu tăng mạnh, làm tăng nguy cơ sâu răng vĩnh viễn mới mọc.
- Viêm Nướu và Nha chu: Mảng bám và vôi răng tích tụ gây viêm nướu cục bộ, đôi khi có thể lan ra các răng kề.
3. Ảnh hưởng Tâm lý Xã hội
Sự chậm trễ trong việc thay răng, cùng với hình ảnh các răng mọc lộn xộn hoặc mọc đôi, có thể khiến trẻ tự ti, ngại giao tiếp và cười nói. Việc này ảnh hưởng đến sự phát triển tâm lý và giao tiếp xã hội của trẻ.
=>>> Khám phá: https://nhakhoashark.vn/cach-cam-mau-sau-khi-nho-rang/
4. Tiêu Xương Hàm Vĩnh Viễn (Hiếm)
Trong một số trường hợp rất hiếm, sự cản trở kéo dài và không được can thiệp kịp thời có thể ảnh hưởng đến sự hình thành và phát triển của xương ổ răng vĩnh viễn.

IV. Chẩn đoán và Can thiệp khi Nhổ Muộn
Đối với các trường hợp nghi ngờ nhổ răng sữa muộn, việc can thiệp không nên chỉ dựa vào mắt thường:
1. Chẩn đoán Hình ảnh (X-quang)
Đây là bước bắt buộc. Chụp X-quang giúp nha sĩ:
- Xác định chính xác vị trí và hướng mọc của răng vĩnh viễn.
- Đánh giá mức độ tiêu chân răng sữa còn lại.
- Lên kế hoạch nhổ răng sữa với sự can thiệp ít xâm lấn nhất, đảm bảo không làm tổn thương mầm răng vĩnh viễn.
2. Can thiệp Nhổ Đúng Lúc
Nếu X-quang xác nhận răng vĩnh viễn đã sẵn sàng mọc nhưng bị răng sữa cản trở, nhổ răng sữa ngay lập tức là cần thiết. Việc nhổ răng sữa muộn này, khi được thực hiện bởi nha sĩ, thường rất đơn giản vì chân răng đã tiêu gần hết. Việc loại bỏ chướng ngại vật sẽ cho phép răng vĩnh viễn di chuyển và mọc vào vị trí chính xác hơn.
=>>> Bài liên quan: Nhổ Răng Sữa Sớm Có Ảnh Hưởng Đến Việc Mọc Răng Vĩnh Viễn Và Khớp Cắn Không?
V. Kết luận
Nếu răng vĩnh viễn chưa mọc đủ thì có thể nhổ răng sữa muộn có hại gì không? Tình trạng răng sữa tồn tại dai dẳng và nhổ muộn có hại, vì nó tạo ra chướng ngại vật vật lý khiến răng vĩnh viễn bị lệch hướng mọc (mọc chen chúc, mọc đôi) và làm tăng nguy cơ sâu răng cục bộ. Việc cần làm là thăm khám nha sĩ để chụp X-quang và nhổ răng sữa ngay khi được xác định là nguyên nhân cản trở, nhằm đảm bảo răng vĩnh viễn có thể mọc vào đúng vị trí trên cung hàm.
Tin liên quan cùng chuyên mục Lĩnh vực khác
2Bán nhà mặt phố đào duy từ, 40m2, 5 tầng, mặt tiền 3.5m, 36.8 tỷ, kinh doanh
Cập nhật: vài giây trước
2Bán nhà lý thường kiệt, 45m2, 5 tầng, mặt tiền 5.2m, 28.3 tỷ, ngõ rộng thoáng,
Cập nhật: vài giây trước
1Bán nhà mặt phố bát đàn, 50m2, 6 tầng, 37.4 tỷ, vỉa hè rộng, đường 2 chiều,
Cập nhật: 1 phút trước
1Thịt nạc đùi trâu m41 cho quán nhậu, quán ăn
Cập nhật: 1 phút trước
1Bán nhà mặt phố chân cầm, 80m2, 72.5 tỷ, kinh doanh siêu đỉnh, phù hợp xây
Cập nhật: 3 phút trước
2Bán nhà mặt phố phùng khắc khoan, 32m2, 4 tầng, mặt tiền 5m, 28.3 tỷ, kinh
Cập nhật: 4 phút trước
1Bán nhà ngô thì nhậm, 66m2, 4 tầng, mặt tiền 4.2m, 16 tỷ, ngõ xe máy quay đầu,
Cập nhật: 5 phút trước
1Bán nhà mặt phố tuệ tĩnh, 35m2, 4 tầng, mặt tiền gần 8m, 29 tỷ, kinh doanh đỉnh
Cập nhật: 7 phút trước
2Chính chủ bán nhà mặt phố mai hắc đế, 26m2, 5 tầng đẹp ở luôn, giá 20.5 tỷ,
Cập nhật: 8 phút trước
1Bán tòa văn phòng mặt phố trần đại nghĩa, 210m2, 8 tầng 1 hầm thang máy, mặt
Cập nhật: 8 phút trước
2Bán nhà yết kiêu, 100m2, 8 tầng thang máy, mặt tiền 4.3m, 62.5 tỷ, nhà xịn đẹp,
Cập nhật: 10 phút trước
2Bán khách sạn mặt phố mã mây, 80m2, 5 tầng, mặt tiền 5.4m, 77.5 tỷ, kinh doanh
Cập nhật: 11 phút trước
2Bán nhà mặt phố lương ngọc quyến, 40m2, 5 tầng, mặt tiền 3.5m, 36.8 tỷ, kinh
Cập nhật: 12 phút trước
1Bán nhà hàn thuyên, 66m2, 4 tầng, mặt tiền 4.2m, 16 tỷ, ngõ xe máy quay đầu,
Cập nhật: 13 phút trước
2Chính chủ bán nhà phố hàn thuyên, 70m2, 7 tầng thang máy, 29.8 tỷ, kinh doanh
Cập nhật: 14 phút trước
2Bán khách sạn mặt phố hàng bạc, 80m2, 5 tầng, mặt tiền 5.4m, 77.5 tỷ, kinh
Cập nhật: 16 phút trước
2Bán nhà hàng bạc, 86m2, 6 tầng, mặt tiền 4.2m, 59.5 tỷ, ngõ rộng thoáng, kinh
Cập nhật: 17 phút trước
1Cho thuê nhà mặt phố nguyễn huy tự - hai bà trưng, 22m2 x 3 tầng, mặt tiền 6m,
Cập nhật: 19 phút trước
2Cực hiếm, bán nhà hàng bông, 45m2, 5 tầng, mặt tiền 6.3m, 21.8 tỷ, kinh doanh
Cập nhật: 22 phút trước
1Bán nhà nguyễn hữu huân, 86m2, 6 tầng, mặt tiền 4.2m, 59.5 tỷ, ngõ rộng thoáng,
Cập nhật: 22 phút trước
2Chính chủ bán nhà mặt phố nguyễn đình chiểu, 12m2, 5 tầng, mặt tiền 3.2m, 9.8
Cập nhật: 22 phút trước
1Bán nhà mặt phố nguyễn du, 56m2, 6 tầng, 39.5 tỷ, vỉa hè rộng, đường ô tô 2
Cập nhật: 23 phút trước
2Bán nhà mặt phố phùng hưng, 41m2, mặt tiền 3.5m, 32.5 tỷ, kinh doanh đỉnh
Cập nhật: 25 phút trước
2Cực hiếm, bán nhà hàng chiếu, 100m2, mặt tiền 6.3m, 30.8 tỷ, kinh doanh
Cập nhật: 28 phút trước
1Bán nhà đại cồ việt, 140m2, 4 tầng, mặt tiền siêu khủng 8m, 46.1 tỷ, ô tô
Cập nhật: 29 phút trước
2Bán nhà mặt phố triệu việt vương, 32m2, 7 tầng thang máy, mặt tiền 4m, 31.8 tỷ,
Cập nhật: 30 phút trước
2Bán nhà mặt phố tô hiến thành, 32m2, 7 tầng thang máy, mặt tiền 4m, 31.8 tỷ,
Cập nhật: 31 phút trước
2Bán khách sạn mặt phố ngõ trạm, 115m2, 8 tầng thang máy, mặt tiền 4m, 70.8 tỷ,
Cập nhật: 31 phút trước
1Bán nhà mặt phố đường thành, 215m2, mặt tiền 5.5m, 194 tỷ, đường 2 chiều, vỉa
Cập nhật: 34 phút trước
2Bán khách sạn mặt phố cầu gỗ, 120m2, 7 tầng thang máy, tổng 16 phòng, 89.5 tỷ
Cập nhật: 35 phút trước
2Bán nhà hàng bài, 45m2, 5 tầng, mặt tiền 5.2m, 25.6 tỷ, ngõ rộng thoáng, kinh
Cập nhật: 37 phút trước
1Bán nhà mặt phố phạm hồng thái, 60m2, 5 tầng, mặt tiền 4m, 41.5 tỷ, đường 2
Cập nhật: 37 phút trước
1Bán nhà hàng bài, 45m2, 5 tầng, mặt tiền 5.2m, 30.5 tỷ, ngõ rộng thoáng, kinh
Cập nhật: 38 phút trước
2Bán nhà mặt phố ấu triệu, 80m2, 4 tầng, mặt tiền 3.2m, 72.8 tỷ, kinh doanh đỉnh
Cập nhật: 40 phút trước
2Bán nhà mặt phố cầu gỗ, 80m2, 4 tầng, mặt tiền 4m, 70.8 tỷ, vỉa hè rộng, kinh
Cập nhật: 41 phút trước
2Cực hiếm, bán nhà thanh hà, 100m2, mặt tiền 6.3m, 30.8 tỷ, kinh doanh homestay,
Cập nhật: 43 phút trước
1Bán nhà mặt phố nhà chung, 80m2, 72.5 tỷ, kinh doanh siêu đỉnh, phù hợp xây
Cập nhật: 44 phút trước
2Bán nhà nguyễn thái học, 60m2, 6 tầng, mặt tiền 5.5m, 29.8 tỷ, kinh doanh
Cập nhật: 46 phút trước
2Bán nhà thạnh lộc 47 quận 12 chỉ 4,6 tỷ tới 51m2, 3 tầng, hẻm xe hơi né, tiện
Cập nhật: 48 phút trước
2Cực hiếm! bán nhà ở luôn trần phú, 41m2, 6 tầng mới đẹp, mặt tiền 3.9m, .8
Cập nhật: 49 phút trước
2Bán nhà nguyễn thái học, 62m2, 6 tầng, mặt tiền 5.5m, 29.9 tỷ, kinh doanh
Cập nhật: 52 phút trước
1Bán nhà mặt phố triệu việt vương, 35m2, 4 tầng, mặt tiền gần 8m, 29 tỷ, kinh
Cập nhật: 52 phút trước
2Bán nhà mặt phố bùi thị xuân, 110m2, 8 tầng thang máy, mặt tiền 4.5m, giá 82.5
Cập nhật: 55 phút trước
1Bán nhà phan chu trinh, 75m2, 7 tầng thang máy mới đẹp, mặt tiền gần 4m, 39.5
Cập nhật: 55 phút trước
1Bán nhà mặt phố ngõ huyện, 80m2, 72.5 tỷ, kinh doanh siêu đỉnh, phù hợp xây
Cập nhật: 58 phút trước
2Chính chủ bán nhà mặt phố thái phiên, 26m2, 5 tầng đẹp ở luôn, giá 20.5 tỷ,
Cập nhật: 58 phút trước
2Cho thuê nhà mặt tiền phường 8 đà lạt .mặt tiền 10m có mặt bằng kinh doanh
Cập nhật: 58 phút trước
2Bán khách sạn mặt phố lương ngọc quyến, 80m2, 5 tầng, mặt tiền 5.4m, 77.5 tỷ,
Cập nhật: 59 phút trước
2Cực hiếm, bán nhà lý quốc sư, 50m2, mặt tiền 5.2m, 25.8 tỷ, kinh doanh
Cập nhật: 1 phút trước
2Bán nhà phố nguyễn công trứ, 45m2, 6 tầng thang máy, mặt tiền 7m, 10.8 tỷ, ở
Cập nhật: 1 phút trước

















































